hero ortodoncia
logo lp ortodoncia
CLÍNICA MENÉNDEZ

TU SONRISA, NUESTRO MEJOR CASO DE ÉXITO

Ortodoncia Exclusiva Clínica Menéndez

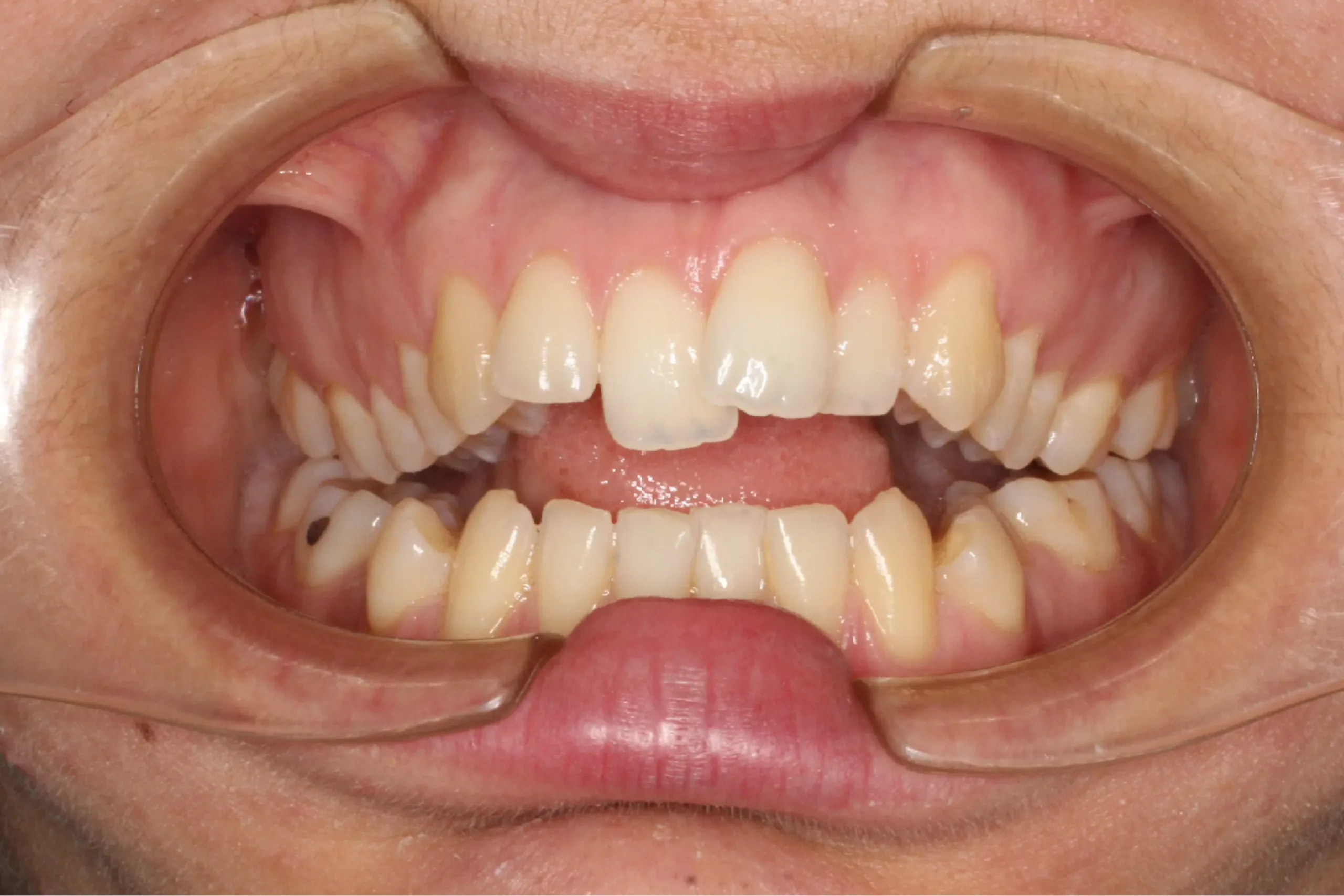
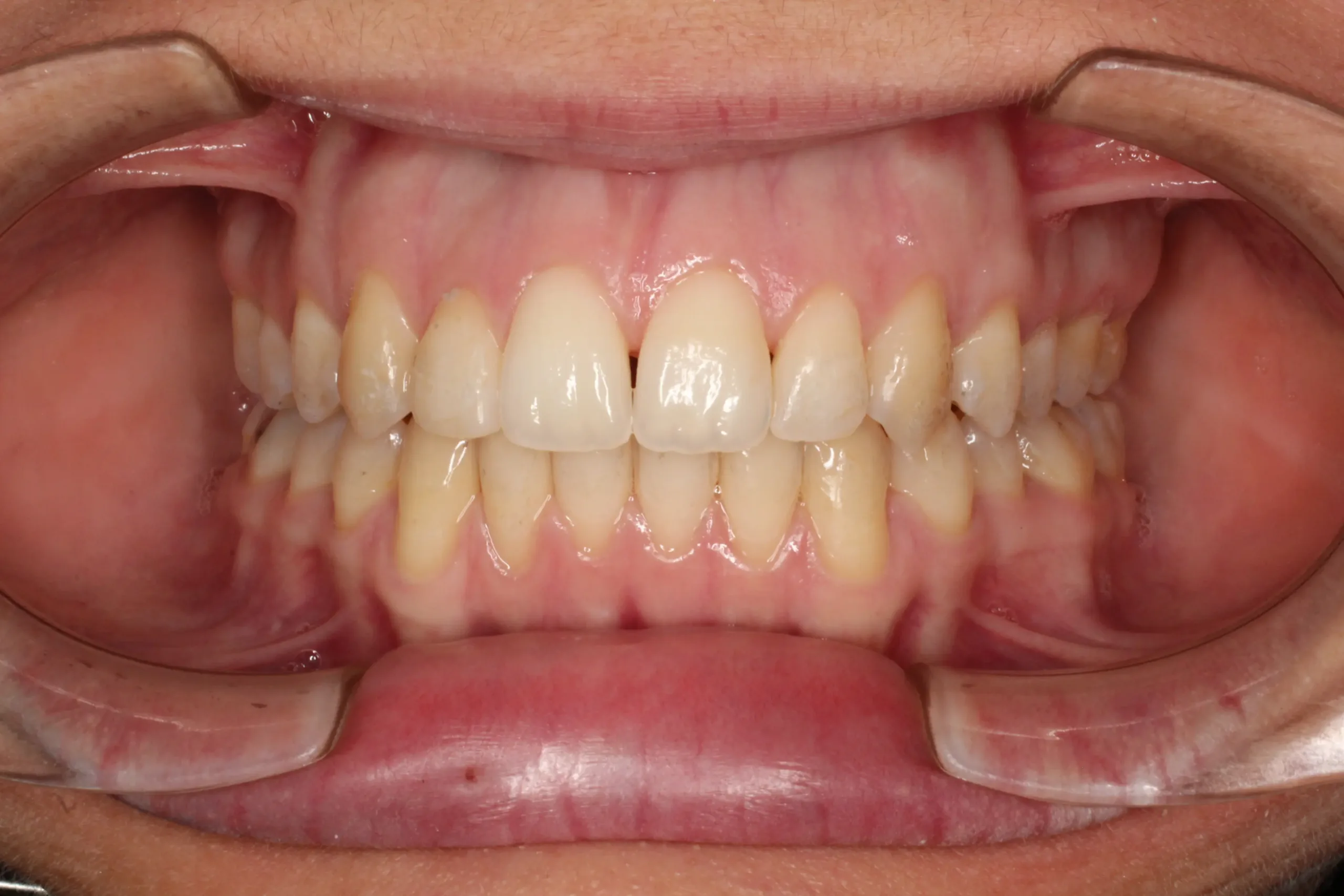
Antes y después

Casos de éxito

El trato personalizado consigue que cada paciente que entra en nuestra clínica dental en Granada se convierta en un caso de éxito. Ahora te presentamos algunos de los resultados.

Antes

Después

Imagen antes del tratamiento Imagen después del tratamiento

Pide tu cita en Clínica Menéndez, especialistas en ortodoncia  invisible

Pide cita

"*" señala los campos obligatorios

Nuestros servicios

Transforma tu sonrisa de manera discreta y efectiva con nuestros alineadores invisibles. Comodidad, estética y resultados sorprendentes en menos tiempo.

alineadores invisibles

Consigue una sonrisa espectacular en Clínica Menéndez con brackets Damon y tecnología innovadora.

brackets damon

Con nuestros tratamientos de brackets transparentes en Granada conseguirás los resultados que buscas con la mejor experiencia.

brackets esteticas

Descubre el mejor servicio de ortodoncia infantil en Granada en Clínica Menéndez: ¡la salud bucodental de los más pequeños está en buenas manos!

ortodoncia infaltil
alineadores invisibles brackets damon brackets esteticas ortodoncia infaltil

Beneficios de elegir Invisalign en Clínica Menéndez

Si buscas un tratamiento Invisalign en Granada,
elegir Clínica Menéndez no solo te aporta las ventajas propias de esta técnica de ortodoncia invisible, sino que, además:

hugeicons energy

Tecnología exclusiva

Trabajamos con un sofisticado software
que permite crear un modelo digital de
los dientes. ¡Mucho más cómodo!

solar calculator linear

Presupuestos cerrados

Primera visita con diagnóstico completo y presupuesto cerrado

People 01

Financiación a medida

Con diferentes combinaciones de fraccionamiento durante el tratamiento.

Testimonios

Lo que dicen quienes llevan 40 años confiando en nosotros.

«Mis padres confiaron en el Dr. Menéndez para mí hace 20 años, y ahora yo traigo a mis hijos. Esa tranquilidad de saber que estás en manos de médicos y no de comerciales no tiene precio.»

«Con el Dr. Menéndez destaco por encima de todo el trato súper amable. En otros sitios eres un número; aquí sientes que hay un seguimiento médico real desde el primer día.»

«Con el Dr. Menéndez destaco por encima de todo el trato súper amable. En otros sitios eres un número; aquí sientes que hay un seguimiento médico real desde el primer día.»

img resena
Pide tu cita