Casos de Mordida Cruzada
La mordida cruzada es una maloclusión que provoca que los dientes superiores muerdan por dentro de los inferiores. Puede afectar tanto a niños como a adultos, provocando un desgaste dental irregular, problemas en la articulación temporomandibular (ATM), dificultades para masticar y hablar y también alteraciones en la estética del rostro.
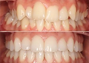
En Clínica Menéndez contamos con una amplia experiencia en el tratamiento de este tipo de problema, y los resultados del antes y después de la mordida cruzada con nosotros son nuestra mejor garantía.
Tratamos a niños, jóvenes y adultos con éxito, y para ello nos servimos de técnicas personalizadas y la tecnología más moderna.
Resultados de la corrección de mordida cruzada
Los resultados tras la corrección de la mordida cruzada son evidentes a simple vista. Nuestros pacientes experimentan una gran mejora en la alineación dental, la funcionalidad masticatoria y la morfología de su cara.
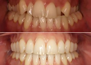
Invisalign para mordida cruzada: antes y después de un tratamiento invisible
Este tipo de ortodoncia invisible es una solución muy eficaz para corregir la mordida cruzada. Este sistema utiliza alineadores transparentes y removibles que aplican una presión suave y constante para mover los dientes a su posición correcta, lo que hace que resulte tan cómodo y discreto como efectivo.
Invisalign facilita el tratamiento porque es prácticamente imperceptible y permite una higiene bucal adecuada. Además, su tecnología de planificación facilita resultados predecibles y, en muchos casos, más rápidos que los brackets tradicionales, especialmente en maloclusiones leves y moderadas.
Una vez más, las imágenes del antes y después de la mordida cruzada con Invisalign de nuestros pacientes son la mejor muestra de lo que podemos conseguir con este método.
Preguntas frecuentes
El tiempo de tratamiento varía en función de la dificultad que presente cada caso. Los casos leves suelen resolverse en un periodo que va de los 12 a los 18 meses, mientras que los más complejos pueden requerir hasta 36 meses, sobre todo si es necesario practicar una cirugía ortognática.
Invisalign es eficaz para tratar muchos casos de mordida cruzada, pero en los más complejos es posible que sea necesario combinar este método de energía invisible con el uso de elásticos intermaxilares, expansores palatinos o incluso cirugía ortognática para conseguir una corrección completa.
La principal diferencia entre estas dos condiciones está en el tipo de contacto que se da entre los dientes al morder. En la mordida cruzada, los dientes superiores muerden por dentro de los inferiores, mientras que en la mordida abierta hay un espacio entre los dientes superiores e inferiores al cerrar la boca, y es esto precisamente lo que determina el tipo de tratamiento que cada paciente necesita.
Llámanos al 958 259 108 o si lo prefieres te llamamos nosotros
 
                                         
				 
									 
									 
									 
									 
									 
	
		 
	
		 
	
		 
	
		